Što je ortodoncija?
Specijalistička grana medicine koju obavlja doktor dentalne medicine nakon završene specijalizacije iz ortodoncije.
Ortodoncija nije samo pitanje estetike, već i zdravlja. Pravilno postavljeni zubi olakšavaju čišćenje, smanjuju rizik od karijesa i parodontnih bolesti, te poboljšavaju funkciju žvakanja i govora. Ortodontska terapija može spriječiti mnoge probleme povezane s nepravilnim zagrizom, uključujući bolove u čeljusti i glavobolje.
Kod djece, pravovremena intervencija može osigurati pravilan razvoj čeljusti i izbjeći složenije tretmane u budućnosti. Kod odraslih, moderne tehnologije omogućuju neprimjetne aparatiće, poput estetskih fiksnih aparatića, te sustava alignera koji su estetski prihvatljivi i vrlo učinkoviti.
Ortodontski tretmani nisu namijenjeni samo estetici – oni imaju ključnu ulogu u očuvanju oralnog zdravlja. Ispravljanje nepravilnog položaja zuba može spriječiti niz problema poput:
- poteškoća s govorom i žvakanjem,
- povećanog rizika od karijesa i bolesti zubnog mesa i parodonta,
- neravnoteže zagriza, što može uzrokovati bolove u čeljusnom zglobu.
Naše usluge uključuju:
Kako izgleda tijek ortodontske terapije?
- Prvi pregled i konzultacija: Detaljan pregled, razgovor o vašim željama i očekivanjima.
- Dijagnostika: Intraoralno i ekstraoralno fotografiranje, uzimanje otisaka, očitanje i analiza ortopantomograma, CBCT snimaka, te analiza fotografija i modela zuba.
- Plan terapije: Personalizirani plan izrađen na temelju kliničkog pregleda, dijagnostike, te želja pacijenta.
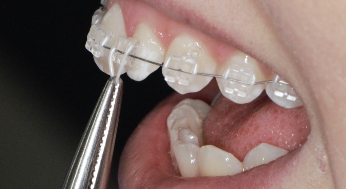
- Početak terapije: Postavljanje fiksnog aparata ili izrada mobilnih aparata.
- Kontrole: Redoviti ortodontski pregledi.
- Završetak terapije i retencija: Uklanjanje aparatića, intraoralno i ekstraoralno fotografiranje, uzimanje otisaka i izrada retencijskih naprava.
Edukacija pacijenata
U Ortodonciji Sikora vjerujemo da je edukacija pacijenata ključna za uspjeh terapije. Prije početka svakog tretmana, pacijentima detaljno objašnjavamo plan terapije, prednosti i moguće izazove. Naši stručnjaci odgovaraju na sva pitanja i pružaju savjete o održavanju oralne higijene tijekom terapije.
Tijekom terapije, redovito informiramo pacijente o napretku i osiguravamo da se osjećaju ugodno i sigurno. Naš tim je uvijek dostupan za konzultacije i dodatnu podršku.
Najčešće ortodontske nepravilnosti
Postoji mnogo različitih vrsta ortodontskih nepravilnosti koje možemo ispraviti, uključujući:
- preklapanje zuba (overbite i underbite),
- razmaci između zuba (dijastema),
- zbijenost zuba (kompresija),
- impakcija zuba (zubi koji ne mogu sami niknuti nego ostaju zadržani u čeljusti),
- hipodoncija (nedostatak zametka zuba) ili hiperdoncija (prekobrojni zubi),
- nepravilnosti u položaju čeljusti,
- otvoreni zagriz,
- asimetrični zagriz,
O nama
Ortodoncija Sikora među vodećim je specijaliziranim ordinacijama za ortodontske usluge u regiji. S obiteljskom tradicijom u dentalnoj medicini od 1952.godine, već treću generaciju neprekidno pružamo vrhunske usluge iz područja dentalne medicine. Naš cilj je osigurati osmijeh o kojem ste oduvijek sanjali, uz individualizirani pristup i maksimalnu posvećenost svakom pacijentu.
Naš tim
U Ortodonciji Sikora ponosni smo na naš stručni tim koji uključuje specijalista ortodoncije, specijalista oralne medicine, dentalne asistente, te suradnju s drugim specijalističkim granama dentalne medicine. Naš voditelj tima, Tanja Sikora, dr.med.dent., specijalist ortodoncije, ima dugogodišnje iskustvo u primjeni najsuvremenijih ortodontskih metoda.
Naš tim redovito sudjeluje na međunarodnim konferencijama i edukacijama kako bismo osigurali vrhunsku uslugu.

Tanja Sikora
dr. med. dent.
specijalist ortodoncije

Danijela Zubić
dentalni asistent
Zašto odabrati nas?
U našoj specijalističkoj ortodontskoj ordinaciji njegujemo potpuno drugačiji pristup od velikih sustava i klinika. Svakom pacijentu posvećujemo maksimalnu pažnju i individualni pristup, prilagođavajući tretman vašim specifičnim potrebama i željama. Pažljivo pratimo vaš napredak tijekom cijelog procesa i s posebnom brigom osiguravamo najbolje rezultate.
Koristimo najsuvremeniju i najučinkovitiju tehnologiju i materijale, kombinirajući znanje, iskustvo i posvećenost svakom pacijentu. Tretmani su prilagođeni vašim potrebama, uz detaljno planiranje kako bismo postigli optimalne rezultate.
Pridružite se stotinama zadovoljnih pacijenata i osmijeha koje smo s ponosom poslali u svijet – jer vaš osmijeh je naša najveća inspiracija!
Započnite svoj put prema zdravom osmijehu već danas!
Kontaktirajte nas i dogovorite svoj prvi pregled kako bismo procijenili vaše stanje i osmislili personalizirani plan liječenja. Naš tim stručnjaka spreman je pomoći vam ostvariti osmijeh o kojem ste oduvijek sanjali.
Vaše zadovoljstvo naš je prioritet!
Često postavljanja pitanja
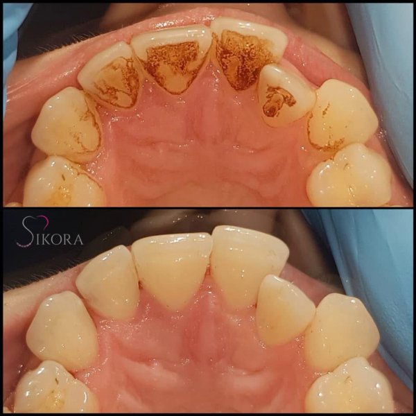
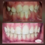
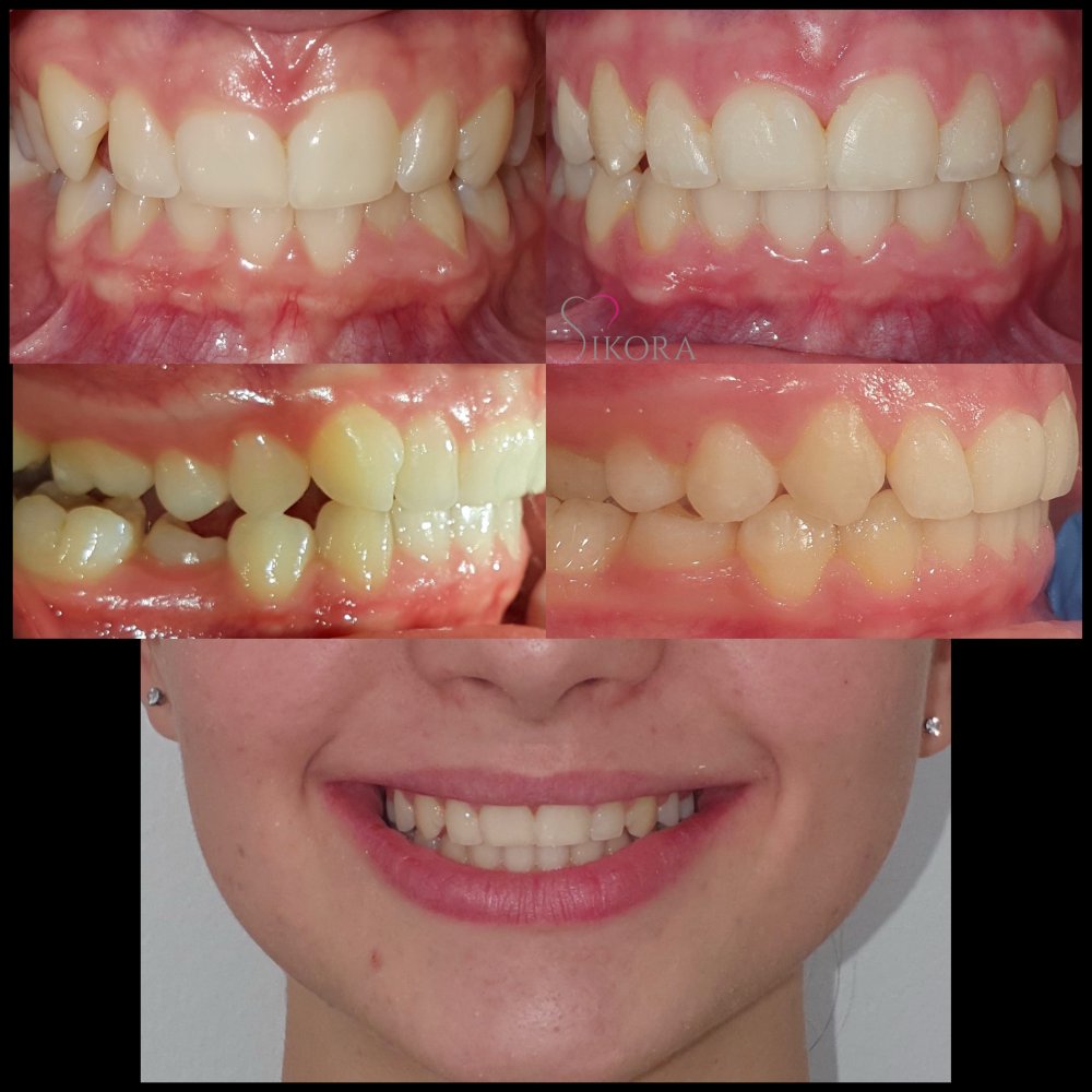
Galerija osmijeha
Pogledajte rezultate naših tretmana u galeriji prije i poslije. Naša misija je uljepšati svaki osmijeh i podijeliti sreću naših zadovoljnih pacijenata.
Vaše mišljenje nam je važno
Kontakt
Ulica Stjepana Radića 46, Osijek
031/205-702
Ponedjeljak i utorak: 12:30 - 20:30
Srijeda, četvrtak i petak: 07:00 - 15:00




















